Xin Lei
AboutPublicationsAwardsBlog

Blog

Notes on research, engineering, and study.

💻 Codex中转使用

2026-05-30

💻 Codex中转使用

API申请注册

CodexGPT
🧠 3D 图像分类模型SmoothGrad热力图生成

2026-03-25

🧠 3D 图像分类模型SmoothGrad热力图生成

对3D图片生成基于 SmoothGrad 的注意力热力图(heatmap),用于模型可解释性分析。

3D可视化热图SmoothGrad
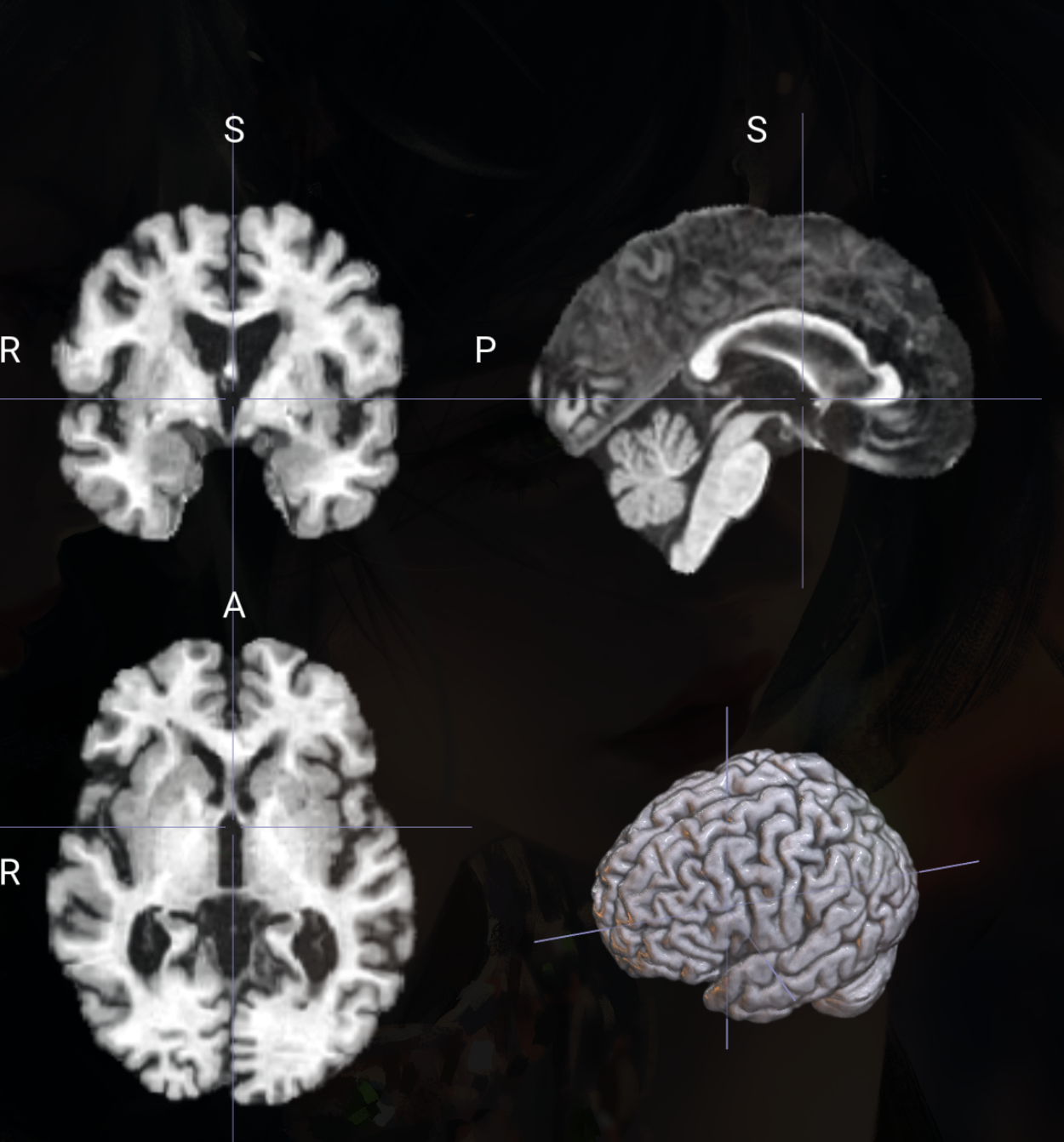
🧠 脑区任务MRI图像预处理

2026-03-20

🧠 脑区任务MRI图像预处理

适用于T1、T2、FLAIR模态的脑区提取增强等预处理

MRI数据增强脑子预处理

Last updated: March 20, 2026

滇ICP备2023000652号-2